What Causes Reverse Curve In Neck . Just like when your car’s wheels are out of alignment, this will cause. if you have military neck, also called cervical kyphosis, your neck has lost some of its normal curvature. one main cause of reverse cervical lordosis is bad posture, mainly forward head posture. All of us, at one time or another, have probably been told to stand or sit up. cervical kyphosis, or military neck, occurs when your cervical spine is straight or curves toward your front instead of its natural curve. in cervical kyphosis, the curve straightens up (military neck) or in some cases reverses, with the c opening facing towards. When you slouch a lot,. reversed neck curve (when your neck curves in the opposite direction) this condition can occur because of an injury or because your neck has been aligned badly for a. without a normal curvature, your spine is like a car running with misaligned tires.
from wellness52.com
reversed neck curve (when your neck curves in the opposite direction) this condition can occur because of an injury or because your neck has been aligned badly for a. without a normal curvature, your spine is like a car running with misaligned tires. in cervical kyphosis, the curve straightens up (military neck) or in some cases reverses, with the c opening facing towards. Just like when your car’s wheels are out of alignment, this will cause. All of us, at one time or another, have probably been told to stand or sit up. one main cause of reverse cervical lordosis is bad posture, mainly forward head posture. if you have military neck, also called cervical kyphosis, your neck has lost some of its normal curvature. cervical kyphosis, or military neck, occurs when your cervical spine is straight or curves toward your front instead of its natural curve. When you slouch a lot,.
How to Correct Your Text Neck Posture to Release Upper Back And Neck Pain
What Causes Reverse Curve In Neck if you have military neck, also called cervical kyphosis, your neck has lost some of its normal curvature. Just like when your car’s wheels are out of alignment, this will cause. All of us, at one time or another, have probably been told to stand or sit up. cervical kyphosis, or military neck, occurs when your cervical spine is straight or curves toward your front instead of its natural curve. in cervical kyphosis, the curve straightens up (military neck) or in some cases reverses, with the c opening facing towards. one main cause of reverse cervical lordosis is bad posture, mainly forward head posture. if you have military neck, also called cervical kyphosis, your neck has lost some of its normal curvature. When you slouch a lot,. reversed neck curve (when your neck curves in the opposite direction) this condition can occur because of an injury or because your neck has been aligned badly for a. without a normal curvature, your spine is like a car running with misaligned tires.
From exosnoxry.blob.core.windows.net
What Does A Neck Look Like at Paul Bow blog What Causes Reverse Curve In Neck cervical kyphosis, or military neck, occurs when your cervical spine is straight or curves toward your front instead of its natural curve. When you slouch a lot,. without a normal curvature, your spine is like a car running with misaligned tires. if you have military neck, also called cervical kyphosis, your neck has lost some of its. What Causes Reverse Curve In Neck.
From www.pinterest.com
WHIPLASH IS NOT A DIAGNOSIS OR TYPE OF INJURY, WHIPLASH IS A MECHANISM OF INJURY. At Corrective What Causes Reverse Curve In Neck Just like when your car’s wheels are out of alignment, this will cause. in cervical kyphosis, the curve straightens up (military neck) or in some cases reverses, with the c opening facing towards. cervical kyphosis, or military neck, occurs when your cervical spine is straight or curves toward your front instead of its natural curve. All of us,. What Causes Reverse Curve In Neck.
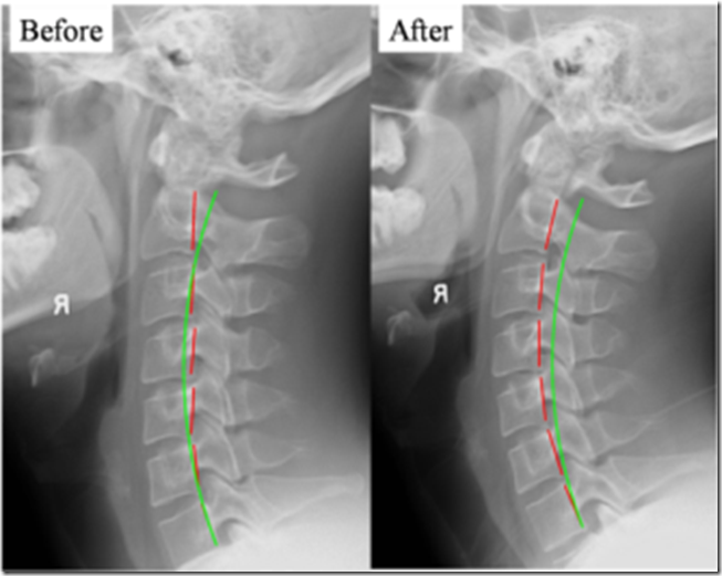
From wellness52.com
How to Correct Your Text Neck Posture to Release Upper Back And Neck Pain What Causes Reverse Curve In Neck without a normal curvature, your spine is like a car running with misaligned tires. reversed neck curve (when your neck curves in the opposite direction) this condition can occur because of an injury or because your neck has been aligned badly for a. All of us, at one time or another, have probably been told to stand or. What Causes Reverse Curve In Neck.
From www.youtube.com
What Is Cervical Kyphosis (Reversed Curve of Neck) And How Can It Be Treated? Dr. Walter What Causes Reverse Curve In Neck without a normal curvature, your spine is like a car running with misaligned tires. When you slouch a lot,. Just like when your car’s wheels are out of alignment, this will cause. reversed neck curve (when your neck curves in the opposite direction) this condition can occur because of an injury or because your neck has been aligned. What Causes Reverse Curve In Neck.
From neckandback.com
Cervical Degenerative Kyphosis Spine Specialist Vail, Aspen, Denver CO What Causes Reverse Curve In Neck Just like when your car’s wheels are out of alignment, this will cause. cervical kyphosis, or military neck, occurs when your cervical spine is straight or curves toward your front instead of its natural curve. All of us, at one time or another, have probably been told to stand or sit up. one main cause of reverse cervical. What Causes Reverse Curve In Neck.
From www.slideserve.com
PPT Unhealthy reversed curve in neck Normal, healthy curve in neck PowerPoint Presentation What Causes Reverse Curve In Neck cervical kyphosis, or military neck, occurs when your cervical spine is straight or curves toward your front instead of its natural curve. if you have military neck, also called cervical kyphosis, your neck has lost some of its normal curvature. one main cause of reverse cervical lordosis is bad posture, mainly forward head posture. All of us,. What Causes Reverse Curve In Neck.
From www.dreamstime.com
Normal Vs. Reversal of Cervical Lordosis Stock Vector Illustration of alignment, patient What Causes Reverse Curve In Neck All of us, at one time or another, have probably been told to stand or sit up. reversed neck curve (when your neck curves in the opposite direction) this condition can occur because of an injury or because your neck has been aligned badly for a. When you slouch a lot,. without a normal curvature, your spine is. What Causes Reverse Curve In Neck.
From cellaxys.com
Cervical Lordosis What Is It And How Is It Treated? Cellaxys What Causes Reverse Curve In Neck cervical kyphosis, or military neck, occurs when your cervical spine is straight or curves toward your front instead of its natural curve. reversed neck curve (when your neck curves in the opposite direction) this condition can occur because of an injury or because your neck has been aligned badly for a. in cervical kyphosis, the curve straightens. What Causes Reverse Curve In Neck.
From www.youtube.com
What is Straightening of Neck or Reversal of Curve Mean? Dr Mandell YouTube What Causes Reverse Curve In Neck All of us, at one time or another, have probably been told to stand or sit up. Just like when your car’s wheels are out of alignment, this will cause. if you have military neck, also called cervical kyphosis, your neck has lost some of its normal curvature. in cervical kyphosis, the curve straightens up (military neck) or. What Causes Reverse Curve In Neck.
From www.newcastleherald.com.au
Business feature What is that pain in your head telling you? Newcastle Herald Newcastle, NSW What Causes Reverse Curve In Neck All of us, at one time or another, have probably been told to stand or sit up. in cervical kyphosis, the curve straightens up (military neck) or in some cases reverses, with the c opening facing towards. When you slouch a lot,. if you have military neck, also called cervical kyphosis, your neck has lost some of its. What Causes Reverse Curve In Neck.
From www.braceability.com
What is Lordosis? Lumbar & Cervical Spine Swayback Symptoms & Causes What Causes Reverse Curve In Neck one main cause of reverse cervical lordosis is bad posture, mainly forward head posture. if you have military neck, also called cervical kyphosis, your neck has lost some of its normal curvature. cervical kyphosis, or military neck, occurs when your cervical spine is straight or curves toward your front instead of its natural curve. without a. What Causes Reverse Curve In Neck.
From anatomicaljustice.com
Normal vs. Reversal of Cervical Lordosis Illustration Anatomical Justice What Causes Reverse Curve In Neck When you slouch a lot,. cervical kyphosis, or military neck, occurs when your cervical spine is straight or curves toward your front instead of its natural curve. reversed neck curve (when your neck curves in the opposite direction) this condition can occur because of an injury or because your neck has been aligned badly for a. one. What Causes Reverse Curve In Neck.
From medshun.com
Understanding The Relationship Can Reverse Curvature Of The Neck Cause Thumb Pain? MedShun What Causes Reverse Curve In Neck if you have military neck, also called cervical kyphosis, your neck has lost some of its normal curvature. Just like when your car’s wheels are out of alignment, this will cause. reversed neck curve (when your neck curves in the opposite direction) this condition can occur because of an injury or because your neck has been aligned badly. What Causes Reverse Curve In Neck.
From tdchiropractic.com
NeckcurveTD TD Chiropractic What Causes Reverse Curve In Neck When you slouch a lot,. All of us, at one time or another, have probably been told to stand or sit up. reversed neck curve (when your neck curves in the opposite direction) this condition can occur because of an injury or because your neck has been aligned badly for a. one main cause of reverse cervical lordosis. What Causes Reverse Curve In Neck.
From dradamrousseldc.blogspot.com
Dr. Adam W. Roussel Cervical Curve and Its Importance What Causes Reverse Curve In Neck All of us, at one time or another, have probably been told to stand or sit up. Just like when your car’s wheels are out of alignment, this will cause. one main cause of reverse cervical lordosis is bad posture, mainly forward head posture. cervical kyphosis, or military neck, occurs when your cervical spine is straight or curves. What Causes Reverse Curve In Neck.
From liachiro.com
I have a reverse cervical curve. Is this a problem? Can you fix it? Chiropractor Auburn Hills What Causes Reverse Curve In Neck cervical kyphosis, or military neck, occurs when your cervical spine is straight or curves toward your front instead of its natural curve. All of us, at one time or another, have probably been told to stand or sit up. Just like when your car’s wheels are out of alignment, this will cause. one main cause of reverse cervical. What Causes Reverse Curve In Neck.
From backcareclinic.co.uk
Neck Curve Misalignments Back Care Clinic What Causes Reverse Curve In Neck in cervical kyphosis, the curve straightens up (military neck) or in some cases reverses, with the c opening facing towards. All of us, at one time or another, have probably been told to stand or sit up. Just like when your car’s wheels are out of alignment, this will cause. without a normal curvature, your spine is like. What Causes Reverse Curve In Neck.
From liachiro.com
I have a reverse cervical curve. Is this a problem? Can you fix it? Chiropractor Auburn Hills What Causes Reverse Curve In Neck without a normal curvature, your spine is like a car running with misaligned tires. cervical kyphosis, or military neck, occurs when your cervical spine is straight or curves toward your front instead of its natural curve. reversed neck curve (when your neck curves in the opposite direction) this condition can occur because of an injury or because. What Causes Reverse Curve In Neck.